
Najsavremenija tehnologija, vrhunski stručnjaci i profesionalni odnos- formula je kojom Dental Clinic svojim pacijentima pruža uslugu koja je na svetskom nivou.
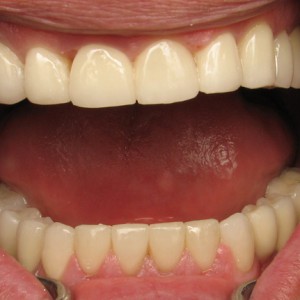
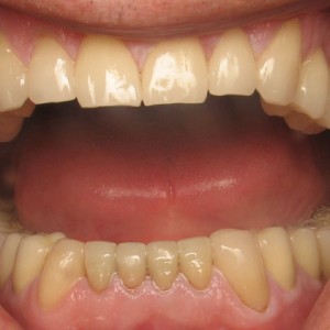
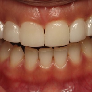
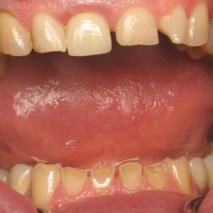
Fokusirani smo na unapređenje izgleda zuba, usta i osmeha- rečju, bavimo se estetskom stomatologijom.
Imamo dugogodišnje iskustvo i stekli smo renome u oblasti implantologije, zubne protetike, oralne hirurgije, parodontologije, endodoncije i ortodoncije, uz napomenu da svakodnevno sprovodimo i osnovne stomatološke delatnosti, u koje spadaju prevencija, dijagnostika i lečenje bolesti zuba i mekih tkiva usne duplje.
Slobodno nam se obratite trebate li jednu krunicu ili nadoknadu svih zuba u obe vilice. U modernoj stomatologiji nema nemogućih stvari!
Radno vreme: 12-20h
Ne primamo platne kartice










